Polikistik Over Sendromu (PKOS), kadınlarda görülen heterojen bir endokrin bozukluk olup, anovulatuar infertilitenin önemli nedenlerinden biridir. PKOS; hiperandrojenizm, insülin direnci, adet düzensizliği, infertilite, hirsutizm ve abdominal obezite gibi özelliklerle tanımlanır. İlk kez 1935 yılında Stein ve Leventhal tarafından polikistik overler ve amenore birlikteliği olarak rapor edilmiştir.
Patofizyoloji
PKOS’un patofizyolojisi santral sinir sistemi, hipofiz, overler, adrenal bezler ve diğer dokular arasında karmaşık etkileşim bozukluklarını içerir. Temel mekanizmalar arasında hiperandrojenizm ve insülin direnci yer alır. Hiperandrojenizm, Luteinleştirici hormon (LH) artışı ve insülin direnci beraberinde metabolik sendrom unsurlarıyla ilişkilidir.

Polikistik Over Sendromu (Yapay Zeka ile Oluşturulmuştur)
Klinik Bulgular
PKOS’lu hastalarda sık görülen klinik bulgular şunlardır:
- Menstrüel düzensizlik (oligo- veya amenore)
- Hirsutizm
- Akne
- Alopesi
- Tekrarlayan gebelik kayıpları (özellikle birinci trimesterde)
- Abdominal obezite
- Dislipidemi, hipertansiyon ve kardiyovasküler hastalıklar
Endokrinolojik olarak, androjen, LH, östrojen ve prolaktin (PRL) seviyeleri artabilir.
Ultrasonografik Özellikler
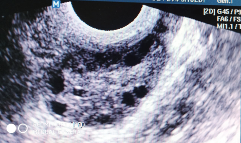
Polikistik over görünümü, ultrasonografide overde 2-9 mm çapında 10-12 adet periferal-kortikal yerleşimli küçük folikül varlığıdır. Over stromasında ödem, hacim artışı (>10 ml) ve doku ekojenitesinde artış gözlenebilir. Polikistik over görünümü, sağlıklı kadınlarda da %20-25 oranında görülebilir ve PKOS tanısı için tek başına yeterli değildir.

Ultrasonografide Polikistik Over Sendromu Morfolojisi (Turkiye Klinikleri Gynecology Obstetrics-Special Topics)
Tanı Kriterleri
PKOS tanısı konulurken benzer tabloya yol açan diğer hastalıklar dışlanmalıdır. Aşağıda üç farklı tanı kriterine yer verilmiştir.
National Institute of Health (NIH) Kriterleri
- Kronik anovulasyon
- Klinik ve/veya biyokimyasal hiperandrojenizm
- Diğer etyolojik nedenlerin dışlanması
Rotterdam Kriterleri (2003)
Aşağıdaki üç kriterden en az ikisinin varlığı gereklidir:
- Oligo/anovulasyon
- Klinik ve/veya biyokimyasal hiperandrojenizm
- Polikistik over görünümü (ultrasonografik)
Diğer nedenlerin dışlanması şarttır.
Androgen Excess Society (AES) Kriterleri (2006)
AES kriterleri androjen fazlalığının ön planda olduğu hastaları tanımlamak amacıyla geliştirilmiştir.
- Klinik ve/veya biyokimyasal hiperandrojenizm
- Over fonksiyon bozukluğu (oligo-anovulasyon ve/veya polikistik over)
- Diğer etyolojik nedenlerin dışlanması
Metabolik ve Endokrin İlişkiler
PKOS’ta, android tip obezite yaygındır. PKOS’lu kadınların önemli bir kısmı hafif şişman veya şişmandır. İnsülin direnci, PKOS’ta beden kütle indeksinden bağımsız olarak görülebilir. Artan yağ dokusu, hiperinsülinemi, glukoz tolerans bozukluğu, tip 2 diyabet ve androjen üretiminde artış ile ilişkilidir.
Tedavi Yaklaşımları
Vücut Ağırlığı Kontrolü
PKOS tedavisinde vücut ağırlığının azaltılması ve uzun dönemde kontrolü önemli bir hedef olarak belirlenmiştir. Vücut ağırlığının %5-10 oranında azalması, ovülasyonun başlamasına ve insülin duyarlılığının artmasına katkıda bulunur. Kilo kaybı, hiperandrojenizmi ve metabolik risk faktörlerini azaltır.
Beslenme Tedavisi
Beslenme tedavisinde hedefler arasında kan glukozunun düzenlenmesi, insülin direncinin azaltılması ve androjen düzeylerinin kontrolü yer alır.
- Karbonhidratlar: Düşük glisemik indeksli karbonhidratların tercih edilmesi önerilir. Günlük enerji alımının %55-60’ı karbonhidrattan sağlanmalıdır.
- Proteinler: Enerjinin %15-20’sinin proteinden alınması tavsiye edilir. Yüksek protein alımı tokluk sağlar ve insülin duyarlılığını artırabilir.
- Yağlar: Toplam enerjinin %25-30’u yağlardan karşılanmalıdır; doymuş yağ oranı %10’dan az olmalıdır. Omega-3 yağ asitlerinin insülin direncini azaltıcı etkisi nedeniyle tüketimi artırılmalıdır. Trans yağ alımından kaçınılmalıdır.
- Posa: Sebze, meyve ve tam tahıllar posa kaynağı olarak diyetin önemli bir parçasıdır.
Öğün sayısının artırılması ve düzenli beslenme alışkanlıklarının sağlanması kan glukoz düzeylerinin kontrolünde önemlidir.
Fiziksel Aktivite
Orta şiddette düzenli egzersiz (günde en az 30 dakika) kilo kontrolü ve insülin duyarlılığının artırılmasında rol oynar.
Farmakolojik Tedavi
Endokrinolojik ve metabolik bulgulara göre medikal tedavi uygulanabilir. Ancak tedavide medikal ajanlar beslenme ve yaşam tarzı değişiklikleri ile desteklenmelidir.
Multidisipliner Yaklaşım
PKOS yönetiminde jinekolog, endokrinolog, diyetisyen, fizyoterapist ve psikolog gibi uzmanların yer aldığı multidisipliner ekip çalışması önerilir.
Araştırmalar ve Yeni Yaklaşımlar
PKOS’ta yüksek proteinli diyetlerin kilo kaybı, insülin direnci ve androjen seviyeleri üzerine olumlu etkileri gösterilmiştir. Ayrıca omega-3 yağ asidi takviyesi trigliserid ve kan basıncı üzerinde olumlu sonuçlar vermiştir. Düşük glisemik indeksli diyetlerin kan glukozu kontrolü ve menstrual düzenlilikte iyileşme sağladığı bildirilmiştir. Bununla birlikte, diyet bileşenlerinin optimal oranları ve uzun dönemdeki etkileri hakkında ek çalışmalara ihtiyaç vardır.【1】
Polikistik Over Sendromunda (PKOS) Beslenme (Maltepe Üniversitesi Tıp Fakültesi Hastaneleri)
Uyarı: Bu maddede yer alan içerik, yalnızca genel ansiklopedik bilgi amacı taşımaktadır. Buradaki bilgiler tanı koyma, tedavi etme ya da tıbbi yönlendirme amacıyla kullanılmamalıdır. Sağlıkla ilgili konularda karar vermeden önce mutlaka bir hekime veya uzman sağlık personeline danışmanız gerekmektedir. Bu bilgilerin tanı veya tedavi amacıyla kullanılması sonucunda doğabilecek durumlardan madde yazarı ve KÜRE Ansiklopedi herhangi bir sorumluluk kabul etmez.

