
Deri ve subkutanöz dokunun granülomatöz bozuklukları, kronik inflamatuar süreçlerle karakterize, granülom oluşumuyla seyreden bir grup hastalıktır. Granülomlar, makrofajların epiteloid hücrelere dönüşmesi ve çok çekirdekli dev hücrelerin oluşumuyla karakterize histolojik yapılardır. Bu bozukluklar, enfeksiyöz (tüberküloz, lepra) veya enfeksiyöz olmayan (sarkoidoz, granüloma annulare) nedenlere bağlı olarak ortaya çıkabilir. Deri ve subkutanöz dokunun granülomatöz bozuklukları, klinik olarak çeşitli cilt lezyonları (nodüller, plaklar, ülserler) ile kendini gösterir ve tanı genellikle klinik bulgular, histopatolojik inceleme ve laboratuvar testleriyle konur.
Deri ve subkutanöz dokunun granülomatöz bozuklukları, yaş, cinsiyet ve coğrafi bölgeye göre değişen bir prevalansa sahiptir. Örneğin, sarkoidoz genç ve orta yaşlı yetişkinlerde daha sık görülürken, granüloma annulare çocuklarda ve genç erişkinlerde daha yaygındır. Bu bozukluklar, enfeksiyöz ve enfeksiyöz olmayan granülomatöz hastalıklar olarak iki ana gruba ayrılabilir:
Granülom oluşumu, immün sistemin kronik antijenik uyarıya yanıtı olarak gelişir. Makrofajlar, antijenleri fagosite eder ve epiteloid hücrelere dönüşür. Bu hücreler, çok çekirdekli dev hücreler oluşturmak üzere birleşir. Granülomların merkezinde nekrotik doku (kazeifikasyon nekrozu) veya non-nekrotik inflamatuar hücreler bulunabilir. Enfeksiyöz granülomlarda, patojenler (mikobakteri, mantar) genellikle granülomun merkezinde tespit edilir. Enfeksiyöz olmayan granülomlarda ise immün sistemin kendi dokularına karşı anormal yanıtı söz konusudur.
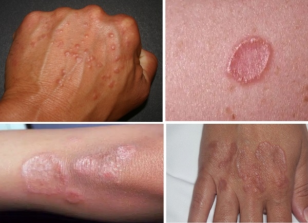
Deri ve subkutanöz dokunun granülomatöz bozuklukları, klinik olarak çeşitli cilt lezyonlarıyla kendini gösterir. Lezyonların tipi ve dağılımı, altta yatan hastalığa bağlı olarak değişir. Yaygın klinik bulgular şunlardır:
Deri ve subkutanöz dokunun granülomatöz bozukluklarının tanısı, klinik bulgular, histopatolojik inceleme ve laboratuvar testlerine dayanır. Deri biyopsisi, granülomların varlığını doğrulamak için altın standarttır. Histopatolojik incelemede epiteloid hücreler, dev hücreler ve nekrotik veya non-nekrotik merkezler görülür. Enfeksiyöz nedenlerin dışlanması için mikrobiyolojik kültürler ve PCR testleri kullanılabilir. Sarkoidoz gibi sistemik hastalıkların tanısında akciğer grafisi, serum anjiyotensin dönüştürücü enzim (ACE) düzeyi ve göğüs BT gibi ek testler gerekebilir.
Tedavi, altta yatan hastalığa ve klinik bulguların şiddetine bağlıdır. Enfeksiyöz granülomatöz bozukluklarda antimikrobiyal tedavi (antitüberküloz ilaçlar, antifungal ilaçlar) temel yaklaşımdır. Enfeksiyöz olmayan granülomatöz bozukluklarda ise immünomodülatör ve antiinflamatuar tedaviler kullanılır. Yaygın tedavi seçenekleri şunlardır:

Henüz Tartışma Girilmemiştir
"Deri ve Subkutanöz Dokunun Granülomatöz Bozuklukları" maddesi için tartışma başlatın
Deri ve Subkutanöz Dokunun Granülomatöz Bozuklukları
Epidemiyoloji ve Sınıflandırma
Enfeksiyöz Granülomatöz Hastalıklar:
Enfeksiyöz Olmayan Granülomatöz Hastalıklar:
Patofizyoloji
Klinik Bulgular
Örnek Hastalıklar ve Klinik Bulgular:
Tanı
Tedavi
Bu madde yapay zeka desteği ile üretilmiştir.